Contact Us For an Immediate Response
Homepage
Dental Emergencies
Welcome to WestEnd Dental Associates
We invite you to let our family take care of your family.
Accepting New Patients& Emergencies!
Meet Your Dentists
Our Services
Case Studies
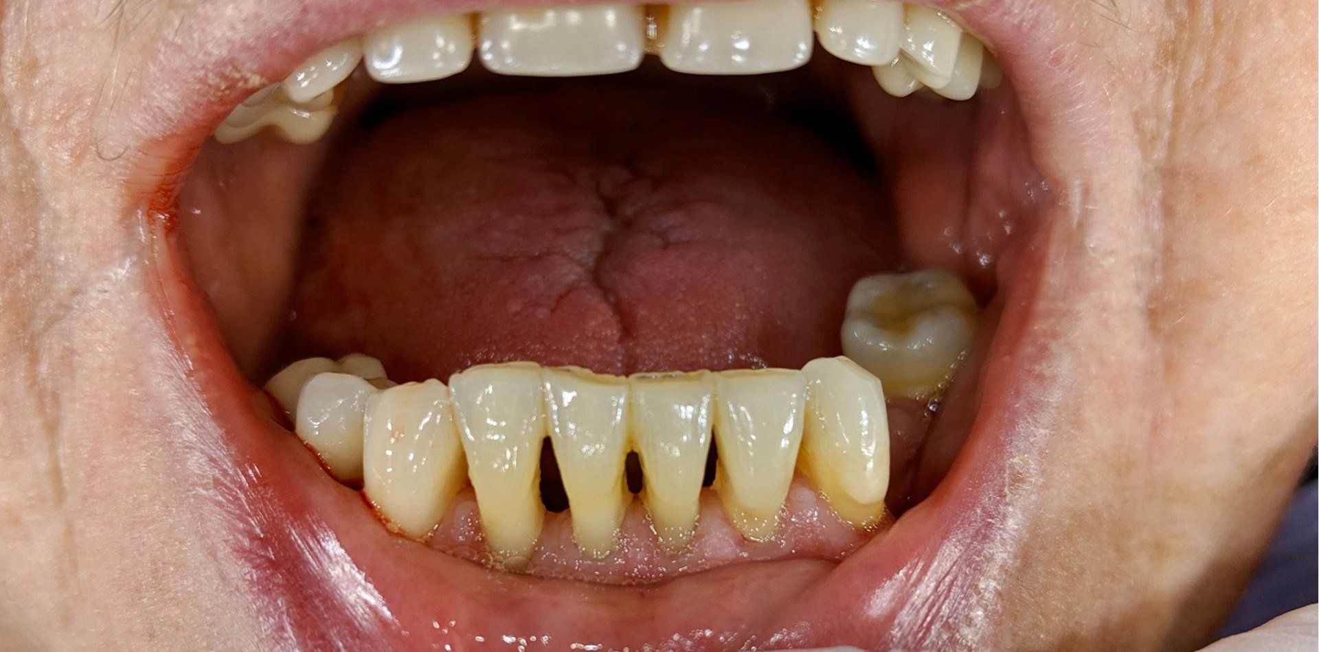
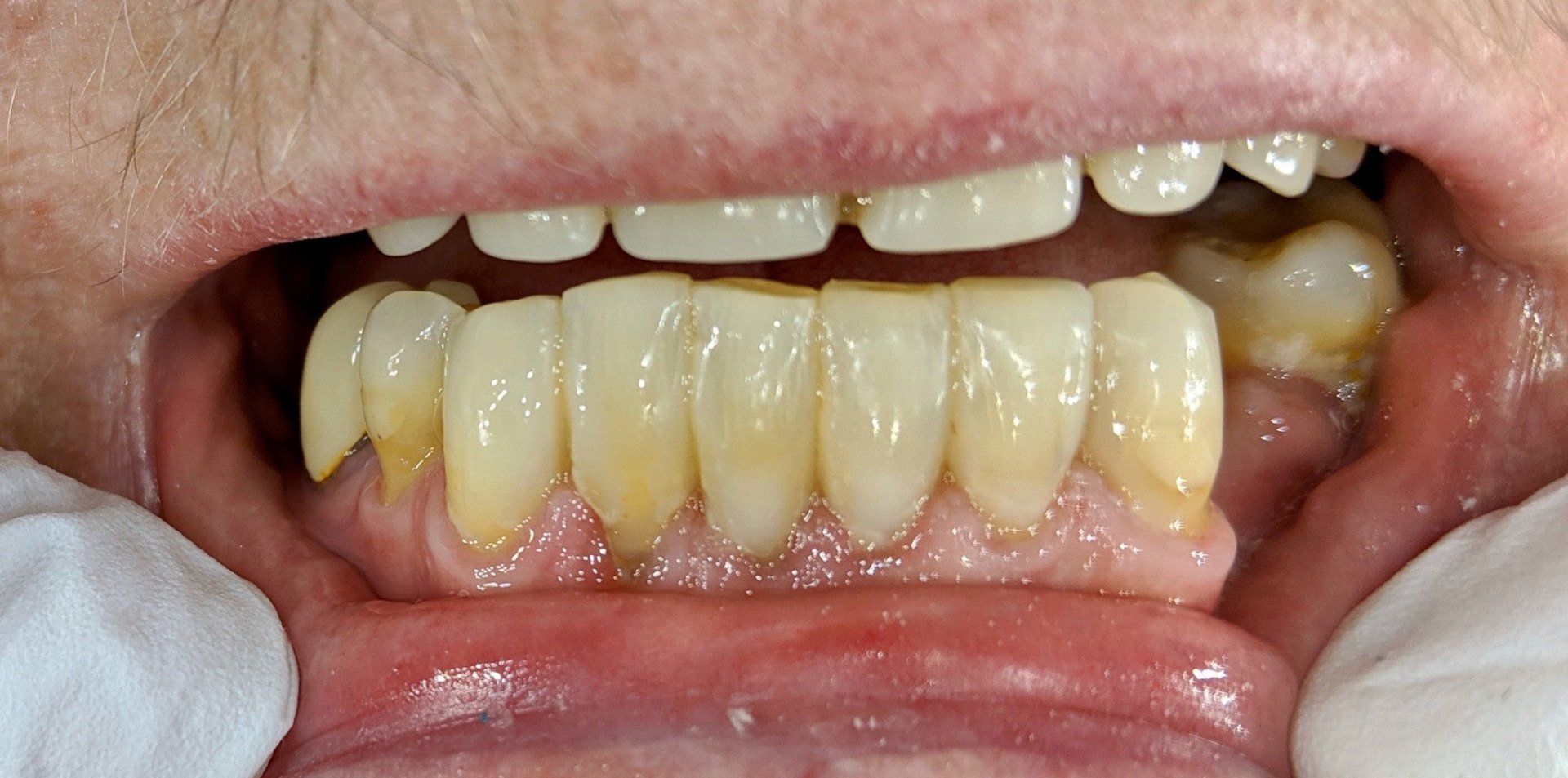
Stella didn’t like the dark triangles that had developed between her lower front teeth when her gums receded. She was looking for a way to give those teeth a more youthful appearance. Using the Bioclear Method, The team was able to fill in the gaps with white filling material, shaped to create a symmetrical and natural-looking contour. Stella was thrilled with the result, and now can smile with confidence.
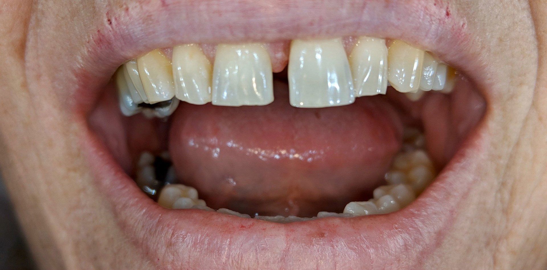
Wendy had been self-conscious about the gap between her two front teeth for years, but had been reluctant to undergo an extensive smile makeover. She was surprised to learn how affordable a Bioclear restoration of just those two teeth could be. The team was able to add white filling material to the two teeth, using the Bioclear Method to maintain the proper shape and proportions. And it was all done in one appointment.














